흉부 엑스레이로 알수있는것
- 톡톡 건강정보
- 2025. 10. 26.
흉부 엑스레이로 알수있는것
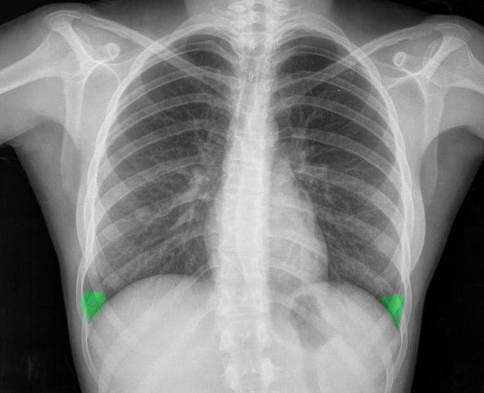
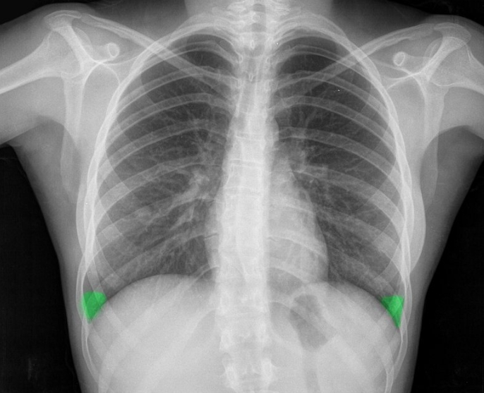
흉부 엑스레이는 가슴 속을 한눈에 들여다보는 기본적인 검사예요. 폐, 심장, 혈관, 갈비뼈, 횡격막 같은 중요한 장기들을 한 번에 촬영해볼 수 있죠. 몸속을 그저 투시하는 게 아니라, 빛처럼 빠른 엑스선을 통과시켜 얻은 그림입니다. 병원에선 “PA(후전면) 촬영”이나 “AP(전후면) 촬영”이라고 부르는데, 일반적으로는 서서 가슴을 필름에 대고 숨을 들이쉰 뒤 ‘찰칵’ 하고 찍는 방식이에요.

저는 친구가 건강검진에서 엑스레이를 찍은 뒤 ‘별거 아니네’ 하다가도, 의사 선생님이 “심장이 살짝 커 보이네요” 하시던 말에 깜짝 놀랐던 기억이 있어요. 그만큼 간단하지만 중요한 검사랍니다. 흉부 엑스레이는 몸의 이상을 빠르게 찾아내는 첫 관문이에요.


흉부 엑스레이 음영
엑스레이를 보면 검고 하얀 그림처럼 보여요. 검은 부분은 공기가 많은 곳, 하얀 부분은 단단한 조직이에요. 이런 밝고 어두운 차이를 ‘음영’이라고 부릅니다. 폐처럼 공기가 가득한 부위는 검게, 뼈는 하얗게, 그리고 물이나 염증이 차면 회색빛으로 보이지요.
한번은 가족 중 한 분이 감기인 줄 알고 병원에 갔는데, 엑스레이를 본 의사 선생님이 “오른쪽 아래 음영이 진하네요”라며 흉부 엑스레이로 알수있는것 폐렴을 의심하셨어요. 실제로 약간의 염증이 있었던 거죠. 이렇게 음영은 그림자처럼 보여도, 그 속엔 우리 몸의 변화가 담겨 있어요. 뿌연 음영이 작게라도 생기면 “왜 그런 걸까?” 하고 한 번쯤 더 살펴볼 필요가 있습니다.
흉부 엑스레이 비용
흉부 엑스레이는 비용 부담이 크지 않아요. 일반 병원이나 보건소에서는 건강보험이 적용돼서 1만 원 내외로 촬영할 수 있고, 종합검진이나 직장검진에는 대부분 기본 항목으로 포함돼 있죠. 대학병원에서 정밀 검사를 병행하거나 조영제를 사용하는 경우엔 약간 더 들 수 있습니다.
저는 친구가 건강검진 센터에서 엑스레이를 찍었는데, 검사 결과지를 바로 휴대폰 앱으로 받아보더라구요. 요즘은 대부분 디지털로 진행돼서 결과를 바로 확인할 수 있고, 사진을 다른 병원으로 전달하기도 쉬워졌어요. 단, 병원마다 가격 차이가 있으니 예약 전 문의는 꼭 하는 게 좋아요.


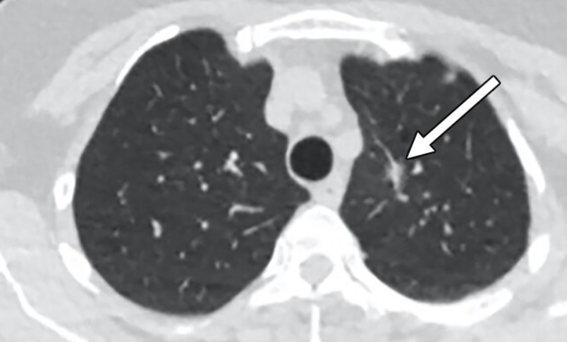
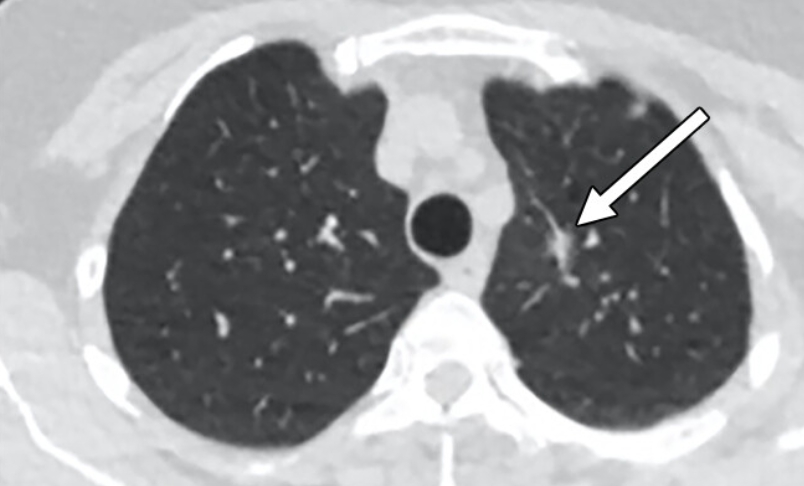
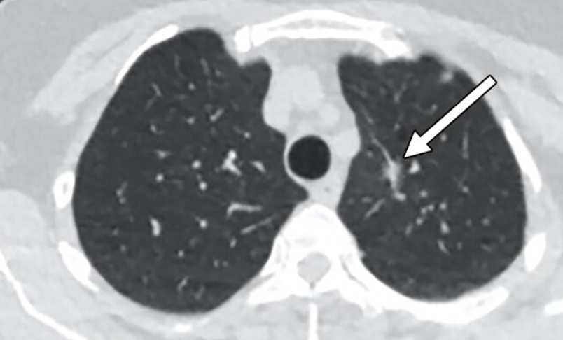
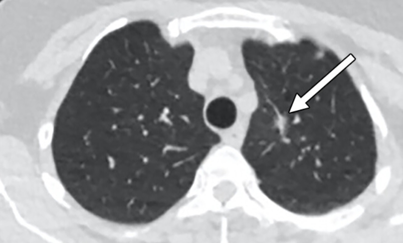
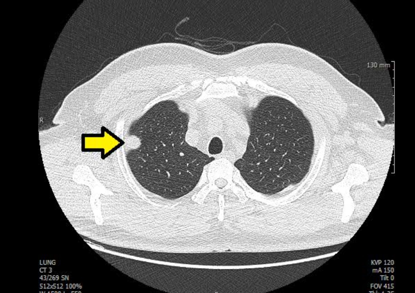
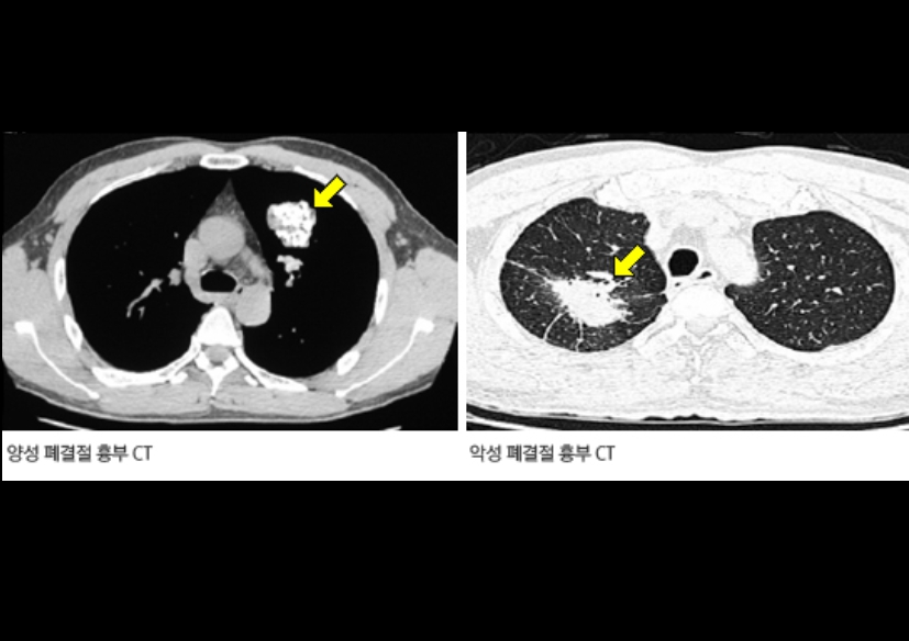
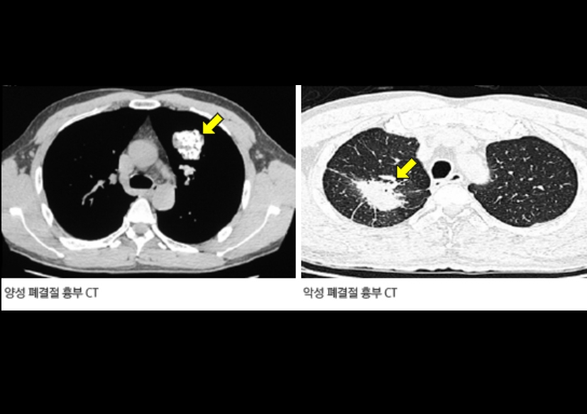
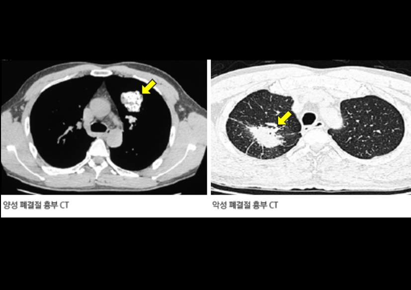
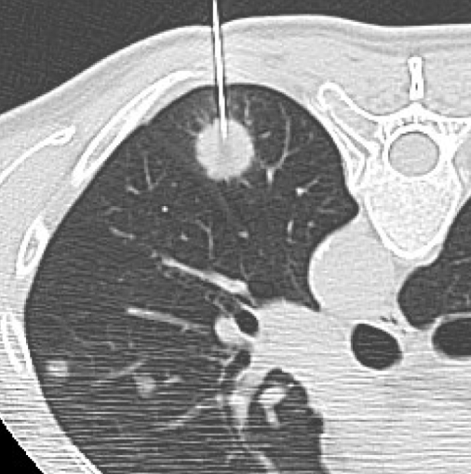
흉부 엑스레이 결절음영
결절음영이란 말은 엑스레이에서 ‘혹처럼 보이는 부분’을 뜻해요. 작게 하얗게 보이는 점, 혹은 둥근 모양의 그림자가 결절음영입니다. 이게 보이면 대부분은 오래된 염증, 흉터, 석회화(염증이 낫고 남은 흔적)일 때가 많아요.
하지만 간혹 크기가 크거나 모양이 울퉁불퉁한 경우엔 폐암 같은 질환을 의심하기도 합니다. 그래서 보통은 “추적 관찰”을 권해요. 6개월 또는 1년 뒤 다시 찍어서 변화가 없는지 보는 거죠. 제 지인 중 한 분도 건강검진에서 결절음영이 나와서 놀랐지만, 재검 때는 흔적만 남고 없어졌어요. 그때 이후로는 주기적으로 검사받는 걸 잊지 않으신다고 하더라구요.
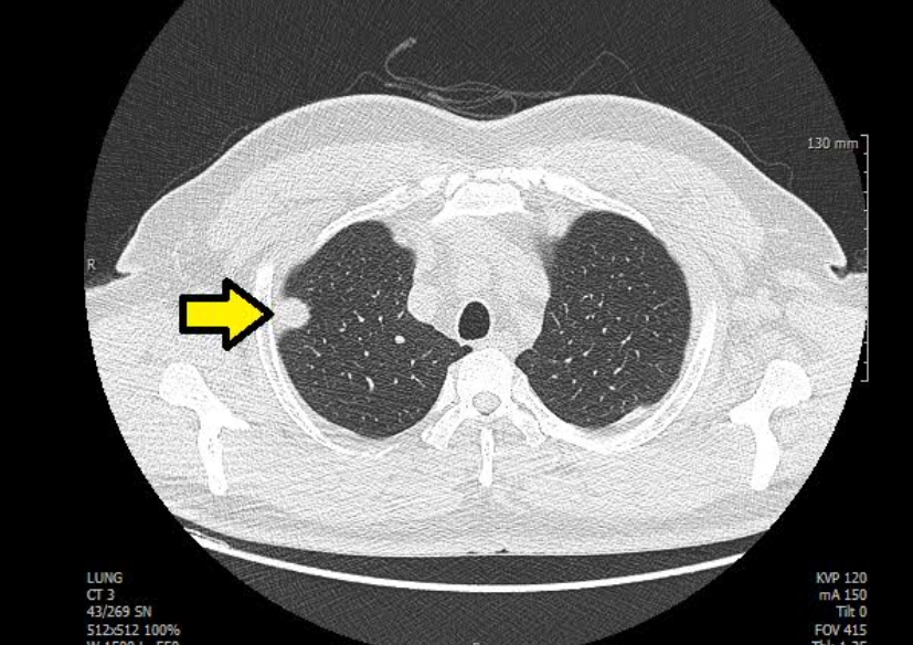
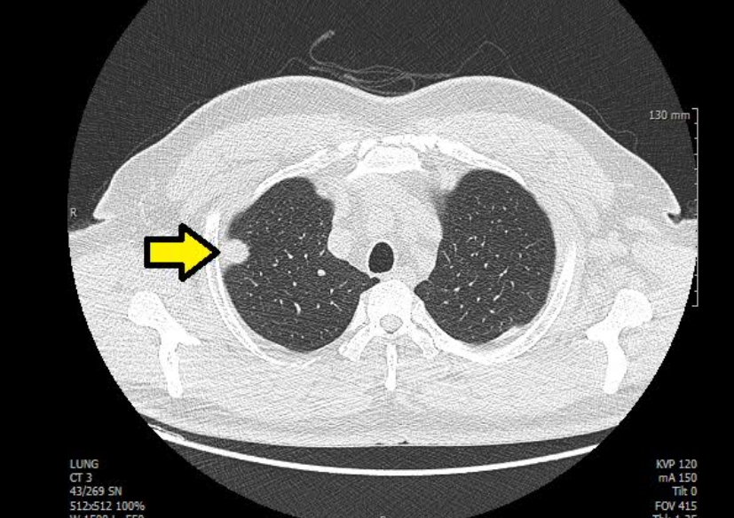
흉부 엑스레이 폐암
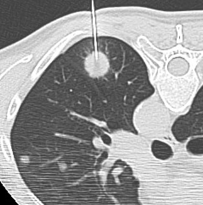
폐암은 초기에 특별한 증상이 거의 없어서 조기 발견이 어렵습니다. 흉부 엑스레이는 폐암을 찾아내는 첫 번째 단계로 사용돼요. 작은 혹이나 결절이 보이면 추가로 저선량 CT(방사선량이 적은 컴퓨터 단층촬영)를 진행하게 되죠.
하지만 엑스레이만으로 모든 폐암을 잡아내긴 어려워요. 종양이 아주 작거나 혈관 뒤쪽에 숨어 있으면 안 보일 수도 있습니다. 그래서 흡연력이 있거나 가족력이 있는 분들은 1년에 한 번 정도 저선량 CT를 병행하는 게 좋아요. 저희 아버지도 금연 후 매년 CT를 찍고 계신데, “한 번 찍으면 마음이 편하다” 하시더라고요. 그 말이 참 와닿았어요. 예방이 곧 안심이니까요.


흉부 엑스레이로 알 수 있는 것
엑스레이 한 장으로도 알 수 있는 게 많습니다. 흉부 엑스레이로 알수있는것 폐렴, 결핵, 기흉(공기가 새어나온 상태), 폐수종(폐에 물이 찬 상태), 심비대(심장이 커진 상태), 늑골 골절, 흉막삼출(가슴 안쪽에 물이 고인 상태) 등 다양한 질환의 단서를 볼 수 있죠.
검사실에 들어가서 숨을 한 번 들이쉬고 찍는 몇 초 사이에, 내 몸의 상태가 고스란히 기록돼요. 의료진은 사진을 통해 폐의 모양, 심장 크기, 혈관 그림자, 공기층, 뼈의 윤곽을 차례로 살펴보며 판단합니다. 그 과정을 보고 있으면 마치 ‘몸속의 풍경을 해석하는 일’ 같아요. 그래서 이 검사는 증상이 없어도 1년에 한 번쯤은 꼭 해두면 좋아요.
흉부 엑스레이 폐렴
폐렴은 엑스레이에서 가장 자주 발견되는 질환 중 하나예요. 정상적인 폐는 까맣게 보이지만, 염증이 생기면 하얗게 변합니다. 의사들은 이를 보고 ‘침윤(염증이 번진 상태)’이라고 표현해요.
흉부 엑스레이로 알수있는것 폐렴의 종류에 따라 모양도 달라요. 한쪽 폐 전체가 하얗게 보이면 ‘엽성 폐렴’, 군데군데 얼룩처럼 보이면 ‘기관지 폐렴’일 수 있어요. 예전에 제 친구가 독감 후 기침이 너무 오래가서 병원에 갔는데, 엑스레이에 하얀 구름처럼 음영이 보여 폐렴 진단을 받았죠. 약을 꾸준히 먹고 다시 찍었을 땐 그 구름이 걷힌 것처럼 깨끗했어요. 이렇게 눈에 보이는 회복의 흔적이 참 다행스럽습니다.


흉부 엑스레이 방사선 피폭량
흉부 엑스레이 한 번 찍을 때의 방사선 노출량은 약 0.1~0.3밀리시버트 정도예요. 쉽게 말하면 우리가 10일 정도 일상생활 중에 자연적으로 받는 방사선량과 비슷한 수준이에요. 즉, 자주 찍지만 않는다면 인체에 유해한 수준은 아닙니다.
방사선은 누적되면 좋지 않기 때문에 불필요한 촬영은 피하고, 필요할 때만 하는 게 좋아요. 저는 예전에 감기 때문에 병원을 자주 다녔는데, 의사 선생님이 “한 달 내에 엑스레이를 이미 찍었으면 이번엔 안 찍어도 돼요”라고 하시더라고요. 그 말이 인상적이었어요. 검사는 정확히, 하지만 필요 이상은 하지 않는 게 현명한 방법이죠.
흉부 엑스레이로 나타나는 것
엑스레이 결과지를 받으면 처음엔 알아보기 어렵지만, 구조적으로는 규칙이 있어요. 폐는 공기로 가득해 검게 보이고, 심장은 가운데 밝게 자리하죠. 만약 폐 안에 뿌연 부분이 생기면 염증, 액체, 혹은 출혈을 의심하고, 반대로 너무 까맣게 보이면 기흉일 수 있어요.
의사들은 ‘폐야, 심장이야, 갈비뼈야’ 하며 차근차근 확인합니다. 심장이 커져 있으면 고혈압이나 심부전의 가능성을 생각하고, 횡격막이 들려 있으면 공기나 가스가 차 있을 수 있어요. 또 갈비뼈가 부러졌거나 척추가 휘어져 있으면 엑스레이에서도 바로 드러납니다. 이처럼 단 한 장의 사진에도 온몸의 이야기가 담겨 있는 거예요.


흉부 엑스레이로 알수있는것


흉부 엑스레이로 알수있는것 Q&A
Q1. 흉부 엑스레이를 자주 찍으면 몸에 해롭나요?
A. 결론부터 말씀드리면 아닙니다. 흉부 엑스레이는 한 번 촬영 시 방사선량이 매우 적어, 일상생활 중 받는 자연 방사선의 일부 수준에 불과합니다. 단, 불필요한 반복 촬영은 피하는 것이 좋고, 임신 중이거나 임신 가능성이 있는 여성은 반드시 의료진에게 알려야 합니다. 필요할 때 적절히 찍는 것은 오히려 생명을 지키는 일입니다.
Q2. 흉부 엑스레이에서 정상으로 나왔는데도 숨이 차요. 왜 그럴까요?
A. 엑스레이는 폐나 심장의 큰 구조를 보는 검사라 미세한 이상은 잡아내지 못할 수도 있어요. 예를 들어 폐기능 저하나 천식, 혹은 폐동맥 질환 같은 경우는 엑스레이로는 잘 보이지 않습니다. 숨이 차거나 답답함이 계속된다면 폐기능검사나 심장초음파 등 정밀검사를 함께 받아보는 것이 좋습니다.
Q3. 흉부 엑스레이에서 결절이 보인다고 하는데, 꼭 암인가요?
A. 대부분의 결절은 암이 아닙니다. 예전 감염의 흔적이나 석회화된 조직이 남은 경우가 훨씬 많아요. 하지만 결절의 크기나 모양, 가장자리 윤곽이 불규칙하다면 악성 가능성도 있으므로 정기적인 추적검사를 권합니다. 요즘은 저선량 CT로 더 정확하게 관찰할 수 있습니다.
Q4. 폐렴이 엑스레이에서 사라졌다고 하면 완치된 건가요?
A. 보통은 엑스레이상 하얗게 보이던 염증 음영이 사라지면 폐렴이 회복된 걸로 봅니다. 하지만 증상이 남아 있거나, 기침·가래가 계속된다면 다른 원인이 남아 있을 수도 있습니다. 엑스레이는 눈으로 확인하는 지표일 뿐, 몸의 회복은 증상과 함께 판단해야 해요.


Q5. 엑스레이로 심장 질환도 확인할 수 있나요?
A. 네, 가능합니다. 심장이 커져 보이거나(심비대), 폐혈관 음영이 진해지면 심부전 가능성을 의심할 수 있습니다. 정확한 기능 평가는 심장초음파가 필요해요. 엑스레이는 심장의 형태를 ‘멀리서 조망하는 창문’이라고 생각하면 됩니다.
Q6. 기침이 오래가는데 엑스레이에서는 이상이 없어요. 그럼 괜찮은 건가요?
A. 꼭 그렇지는 않습니다. 기침의 원인은 엑스레이에 보이지 않는 경우가 많아요. 기관지염, 역류성 식도염, 알레르기성 천식처럼 구조 변화 없이 생기는 질환들이죠. 만성 기침이라면 이비인후과나 호흡기내과에서 원인을 세분화해보는 게 좋아요.
Q7. 엑스레이 사진에서 ‘음영 증가’라는 말이 나왔어요. 이건 뭔가요?
A. 음영 증가는 폐 속이 정상보다 더 하얗게 보인다는 뜻입니다. 염증, 흉막삼출(물 고임), 혹은 폐가 덜 팽창한 상태일 수도 있죠. “이상하다”는 신호이기 때문에, 정확한 원인을 확인하기 위해 의사 상담이 꼭 필요합니다.
Q8. 건강검진에서 엑스레이만으로도 폐결핵을 알 수 있나요?
A. 대부분의 활동성 결핵은 엑스레이에서 상엽 부위(폐 윗부분)에 음영이나 공동(속이 빈 공간)으로 나타납니다. 하지만 초기 결핵이나 잠복결핵은 눈에 띄지 않을 수도 있어요. 결핵이 의심될 경우엔 흉부 CT나 객담검사(가래 검사)를 병행합니다.


Q9. 흉부 엑스레이를 찍을 때 숨을 참으라고 하는 이유는 뭔가요?
A. 숨을 들이마신 상태에서 폐가 가장 팽창하기 때문에, 그때 촬영해야 폐와 심장 윤곽이 선명하게 잡혀요. 숨을 내쉬면 폐가 줄어들어 엑스레이 상에서 구조가 겹쳐져 잘못된 해석을 할 수도 있거든요. 그래서 “숨 들이마시고, 멈추세요”라는 안내가 꼭 들어갑니다.
Q10. 엑스레이 결과에서 ‘추적 검사 권장’이라면 꼭 재검을 해야 하나요?
A. 네, 가능하면 하시는 게 좋아요. 그 말은 “지금 당장 큰 이상은 아니지만, 변화를 확인해야 한다”는 뜻입니다. 결절, 음영, 미세한 염증 등은 시간이 지나며 사라지거나 커질 수 있기 때문에, 일정 간격으로 다시 확인하는 것이 안전합니다. 작은 변화라도 조기에 잡아내면 치료가 훨씬 쉬워지거든요.


'톡톡 건강정보' 카테고리의 다른 글
| 시금치 파종시기, 파종방법(시금치 심는시기 심는방법) (0) | 2025.10.29 |
|---|---|
| 뇌ct로 알수있는것 미리 발견되는 질환 10가지 (0) | 2025.10.26 |
| 만성질환 건강지원서비스 (0) | 2025.10.18 |
| 만성 위축성 위염 증상 (0) | 2025.10.18 |
| 알부민 영양제 효능 (0) | 2025.10.13 |